M.S., M. Ch. (PGI, Chandigarh)
Consultant Paediatric Urosurgeon
Ex. Associate Professor Paediatric Urology, IKDRC, Ahmedabad
G.B. Ong Paediatric Laparoscopy Fellowship, Hong Kong
Dr. Mitul Parikh is the best Paediatric Urologist in Ahmedabad, Gujarat (Children Urosurgeon) . Children's Urology Hospital is the best hospital for Paediatric Urology Surgeries in Gujarat equipped with the best infrastructure to provide exceptional treatments and services.

The tube (urethra) that carries the urine from the bladder along the penis is not developed properly.
Read More...
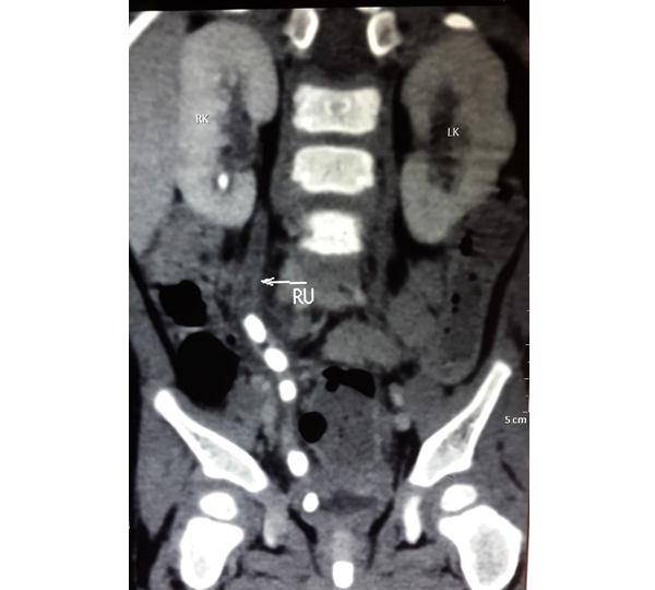
It is often diagnosed before a baby is born, as the enlarged kidneys can be seen on an ultrasound scan.
Read More...
Good hygiene is key to preventing problems that can be caused by infection.
Read More...
Kidney (or renal) stones are clusters of tiny crystals that can form in the kidneys. Most clusters are too small to cause any problems
Read More...
As your baby boy is developing during pregnancy, the testes develop in the abdomen (tummy) and then move down through a tunnel
Read More...
Vesico-ureteric reflux (VUR) occurs when the valve between the ureters (the tubes that carry urine away from the kidneys) and
Read More...
From Tanzania to our clinic for life-changing hypospadias treatment. Every journey is a step towards healing and hope.

Our little warrior, just a month old, conquered Bilateral Pelvi Ureteral Junction obstruction like a champ! With expert care, he's heading home after a successful surgery. Here's to his speedy recovery and a lifetime of health!